Брекет система incognito недавно появилась на стоматологическом рынке, но успела завоевать интерес и популярность у клиентов. Лингвальные брекеты incognito незаметны во время разговора, к ним можно быстро привыкнуть. Однако у них тоже есть недостатки: об этом пойдет речь в статье.
Описание конструкции
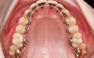
В современной ортодонтии есть два типа брекетов — вестибулярные и лингвальные. Чем брекет система incognito отличается от вестибулярного ортодонтического устройства? Установка брекетов осуществляется не с фронтальной, а с лингвальной стороны. То есть, со стороны языка. Поэтому скобы незаметны для окружающих, не причиняют психологический дискомфорт при общении. Помимо этого у аппарата есть ряд других особенностей:
- индивидуальное производство всех деталей системы;
- сплав на основе золота.
Так как конструкция выполняется с учетом строения зубочелюстного ряда, все детали соответствуют анатомическим особенностям конкретного пациента. Каждый кронштейн полностью имитирует поверхность коронки зуба, чем обеспечивает прочное крепление. Материал, из которого изготовлено ортодонтическое устройство, обладает амортизирующими характеристиками, повышенной прочностью: это исключает поломки изделия. Дуга учитывает неравномерную нагрузку: оказывается точечное давление именно на проблемные участки.
Использование брекет системы incognito всегда эффективно, даже в трудных клинических случаях.
Преимущества
- значительно снижен риск травмирования слизистой оболочки, мягких тканей;
- сокращенный период адаптации из-за уменьшения площади скоб;
- справляется с самыми сложными дефектами прикуса;
- золотой сплав не причиняет вред организму.
Так как все детали ортодонтического аппарата имеют закругленные края, а платформа небольшую высоту, — это способствует комфортному ощущению во время ношения системы. В отличие от классических брекетов, incognito не травмирует ткани ротовой полости. Минимальная площадь скоб облегчает самочувствие и сокращает сроки адаптации до двух недель. Иногда пациенты привыкают к устройству за пару дней.
Невидимые скобы Инкогнито — это:
- эстетичность;
- комфорт;
- прогнозируемый результат;
- гипоаллергенность.
Даже самый внимательный собеседник не сможет заметить установленные с внутренней стороны скобы. Пациент ортодонта может спокойно разговаривать, улыбаться, смеяться без опасения. Губы/щеки полностью защищены от соприкосновения со скобами/замочками, поэтому не травмируются.
Что такое прогнозируемый результат? При моделировании устройства используется компьютерная технология, которая прогнозирует итоговый результат лечения: пациент может это увидеть на мониторе и макете.
Принцип действия основан на медленном, но неуклонном, давление на моляры. С течением определенного времени зубы привыкают к своему новому расположению в ротовой полости, что является итогом правильного лечения.
Недостатки
Преимущества лингвального аппарата налицо. Рассмотрим недостатки:
- сильное нарушение дикции;
- обильное слюноотделение в первые дни;
- травмирование языка замочками в период адаптации;
- определенная трудность в очищении полости рта;
- высокая стоимость.
Нарушение дикции иногда сопровождает клиента до окончания исправления прикуса. Некоторым пациентам удается адаптироваться к устройству и произносить шипящие звуки без искажения. Чтобы замочки не натирали язык, их смазывают специальным воском.
Обильное слюноотделение — неприятное ощущение, которое нужно пережить в первые дни после установки. Также начнется сильная шепелявость, так как язык должен привыкнуть к новому положению в ротовой полости. Эти дефекты частично исчезают после адаптации, но могут остаться надолго.
В период адаптации не рекомендуется есть вязкую, липкую, слишком твердую пищу. Челюсть должна привыкнуть к ортодонтальной системе, не следует ее нагружать интенсивными жевательными движениями.
К недостаткам часто относят и процесс первичной установки устройства: он занимает минимум два часа. Также не у всех клиентов есть возможность оплатить изделие из золотого сплава, поэтому мечта о лингвальном устройстве чаще остается нереализованной. Цена устанавливается на немецком заводе, где изделия производят по индивидуальному заказу.
В целях экономии пациенты устанавливают Инкогнито только на верхнюю челюсть, так как на ней конструкции более заметны.
Показания
Систему устанавливают для:
- исправления аномального прикуса;
- устранения щелей между зубами;
- выравнивания зубного ряда.
Ортодонтальные скобы помогают устранить все видимые и невидимые дефекты, обрести красивую улыбку, уверенность в себе. Скобы незаметны на зубах, что особенно важно тем, кто постоянно общается с большим кругом лиц.
Противопоказания
Кому нельзя устанавливать лингвальную систему? Противопоказаний у данной конструкции много:
- анатомически узкая челюстная дуга;
- возрастная категория до 12 лет;
- сильная скученность зубов;
- низкие коронки зубов;
- психические расстройства;
- аллергия на золото;
- запущенный пародонтоз;
- бруксизм.
Если у пациента зубы мелкой формы, исправление с помощью лингвального аппарата невозможно. Этот же запрет касается слишком узкой челюсти при крупных молярах, в результате которой происходит сильная скученность зубов. Также брекеты не устанавливают пациентам с имплантами в полости рта, при ночном скрежете зубов.
Осложнения
Перед установкой нужно знать об осложнениях, которые возможны после снятия устройства. Это касается деминерализации эмали. Несмотря на то, что после снятия системы процесс деминерализации приостанавливается, вред здоровью все же ощутимый. Положительным моментом при использовании Инкогнито является тот факт, что деструктурированная эмаль не будет заметна с внутренней стороны зубов.
После снятия скоб зубы нуждаются в восстановлении целостности эмалевого покрытия, и это является серьезной основополагающей задачей.
Принцип устройства
Устройство и принцип действия лингвальных брекетов incognito отличаются от подобных ортодонтических систем. Устройство изготавливают с учетом контроля компьютерных технологий, буквально просчитывают каждый миллиметр всех деталей. Платформа скоб Инкогнито точно повторяет все изгибы зубных коронок пациента, а для увеличения качества сцепления с эмалью используют абразив и сетку. Использование абразива уменьшает объем стоматологического клея, на который фиксируют скобы.
Для фиксации дуги используются замки с защелками. Также в конструкции используется вертикальный паз, за счет чего значительно уменьшается трение между самой дугой и деталями конструкции. Эта особенность в разы повышает эффективность. Если в других устройствах дуга выполнена в прямом виде, то в Инкогнито она сразу формируется с учетом анатомических особенностей пациента. Поэтому брекеты incognito отличаются от других лингвальных аппаратов, стоят особняком.
Принцип действия аппарата incognito основан на точечном силовом воздействии на проблемные участки, в чем и состоит их отличие от других лингвальных конструкций.
Фиксирующие замочки устанавливают только на тех коронках, которые подлежат исправлению. На остальные зубы давление не оказывается.
Чтобы изготовить индивидуальную конструкцию, проводят тщательную диагностику ротовой полости. Делают снимки — рентгенологические, 3D диагностику, оттиск челюсти. На основе собранных данных изготавливают лингвальную конструкцию, качество которой контролируется компьютерной программой моделирования. Каждый брекет отливается индивидуально.
После моделирования конструкции устраивают примерку. Если изделие полностью подходит пациенту, его устанавливают. Процедура установки занимает минимум 1,5 часа, иногда — два.
Установка
После всех подготовительных процедур, обследования, примерки изготовленной брекет системы, начинается установка. Качество установки зависит от квалификации ортодонта, он должен пройти специальное обучение.
Этапы установки:
- подготовка коронки зуба;
- фиксация брекета к коронке;
- установка замочков для дуги;
- удаление излишков клея;
- полировка коронок зубов при необходимости.
Подготовка полости рта к установке скоб начинается с качественной санации. Врач устраняет кариозные полости, осматривает слизистые оболочки десен на предмет воспалительного процесса. После этого начинается подготовка эмали зубов к креплению брекетов. Для этого врач тщательно полирует поверхность каждого зуба, доводит ее до гладкости. Соответственно весь налет, зубной камень предварительно удаляются.
После полировки коронки покрываются ортофосфорной кислотой, задача которой — разрыхлить эмалевое покрытие для лучшей адгезии с клеем. Кислота смывается через несколько секунд, а поверхность эмали тщательно высушивается. Затем врач наносит клеевой состав на основание брекета и плотно прижимает к коронке зуба. Для скорейшего сцепления материалов используется стоматологическая лампа. Таким методом врач крепит скобы к каждому зубу, поэтому процедура занимает много времени.
Дуга, соединяющая скобы, устанавливается в натянутом положении. Во время плановых проверок у ортодонта дугу регулярно подтягивают (либо заменяют более жесткой) по мере исправления дефектов. Главным критерием натяжения дуги является отсутствие болевого синдрома у пациента: дуга должна находиться в натянутом состоянии, но не причинять боль.
Своевременный визит к ортодонту во время лечения — залог эффективного исправления прикуса и зубного ряда. Врач должен контролировать натяжение дуги, самостоятельно с этим справиться невозможно.
Сроки ношения
Как долго длится процесс исправления дефектов? Это зависит от анатомических особенностей строения челюсти пациента, возраста, соблюдения рекомендаций ортодонта, планового посещения кабинета врача. В среднем, процесс занимает 1 — 1,5 года. Но иногда затягивается до трех лет. Несложные дефекты можно исправить за 4 — 6 месяцев. После снятия брекет системы устанавливают каппы, длительность ношения которых приравнивается к времени лечения брекетами. Капы необходимо носить для закрепления результата.
Существует также непрямой метод установки. Для этого систему крепят к специальной капе, затем вместе с капой надевают на челюсть. Снимают капу через 70 минут, а скобы остаются надежно зафиксированными на зубах.
Уход за полостью рта
Во время лечения требуется особенно тщательный уход за зубами, так как на них находятся скобы с замочками. Это всё осложняет процесс очищения, требует внимательного осознанного подхода. Особенную сложность представляет невозможность увидеть конструкцию в отдаленных участках ротовой полости, чтобы проконтролировать качество очищения.
Стоматологи рекомендуют приобрести электрические зубные щетки с ионизирующими элементами. Только с их помощью можно качественно очистить труднодоступные места. Также рекомендуется приобрести дентальные ершики, ирригатор.
Для качественного очищения ротовой полости рекомендуется использовать специальные зубные ополаскиватели с антибактериальным противовоспалительным эффектом.
Для ухода за полостью рта с ортодонтическими устройствами продают специальные нити, наподобие обычных зубных. Их тоже нужно применять для качественного удаления остатков пищи между зубами, вокруг скоб и замочков системы.
Помимо тщательного очищения ротовой полости следует соблюдать особенную диету, рекомендованную во время ношения брекет систем.
Аналоги
Чем заменить Инкогнито, если нет возможности оплатить недешевое лечение? Видов лингвальных устройств разных производителей широк, поэтому сложности при решении этого вопроса не возникнет. Все ортодонтические аппараты эффективно исправляют прикус, выравнивают зубной ряд, решают вопрос эстетики улыбки. Однако каждая лингвальная система отличается своими особенностями.
Система Ormco разработана в США. Отличается от аналогичных устройств отсутствием громоздких металлических скоб со стороны языка. Это ускоряет адаптивный период, не травмирует язык, не искажает дикцию. Ухаживать за указанной системой очень просто, поэтому с ней могут справиться даже дети.
Брекеты Win — еще одна разработка немецкой компании Инкогнито. Это устройство вобрало всё лучшее от брекет системы incognito, но отличаются от нее приплюснутой формой и небольшими по форме размерами. В результате устройство практически не ощущается в полости рта, не вызывает дискомфорт.
Устройство In Ovation L от компании Dentsply не уступает по качеству Инкогнито, но сделано из сплава неблагородных металлов — никеля, кобальта. За счет снижения цена на изделия достигается большой спрос на рынке услуг. Также это устройство полностью готово к установке, потому что не изготавливается по индивидуальному слепку. In Ovation L подойдет пациентам с небольшим смещением зубов.
Сравнение с вестибулярными брекетами
У каждой системы есть свои преимущества и недостатки. Преимущество лингвальных аппаратов перед вестибулярными — невидимость. Однако вестибулярные устройства стоят в разы дешевле лингвальных. Компромиссом может стать установка лингвальной конструкции на верхний зубной ряд, а на нижний устанавливается вестибулярная.
Психологический комфорт не уступает место физиологическому: лингвальные устройства не приносят много неудобств, по сравнению с вестибулярными. От вестибулярных могут появиться головные боли, обостриться хронические заболевания. Громоздкие скобы, лигатура — всё это не способствует комфорту, хорошему самочувствию пациента.
Лингвальные конструкции раз и навсегда решают вопрос психологического комфорта во время разговора. Это особенно важно для публичных людей, ведь не все готовы добавить к своему имиджу неожиданную «изюминку».
Вестибулярные конструкции находятся в постоянном контакте с губами, щеками: от этого происходит травмирование слизистых оболочек, трещинки, прикусы. Однако от лингвальных аппаратов может страдать язык (вопрос решается восковой смазкой замочков).
Дикция, искаженная артикуляция — главная проблема лингвальных конструкций. Выход из положения лишь один: ежедневно заниматься речевой гимнастикой, чтобы адаптироваться к новому состоянию. Этот вопрос решаем, если подойти к нему со всей ответственностью.
Еще одним недостатком скрытых брекет систем является невозможность проконтролировать качество гигиены. Поэтому придется периодически наведываться в стоматологический кабинет для профессиональной чистки. Это влечет за собой дополнительные расходы, но решает вопрос санации.
Итог
Используемые источники:
- Creekmore, T. (1989-08-01). «Lingual orthodontics—its renaissance». American Journal of Orthodontics and Dentofacial Orthopedics.
- Персин Л. С. Ортодонтия. Лечение зубочелюстных аномалий. — М.: Инженер, 1998.
- American Association of Orthodontists
Частые вопросы
Какие основные преимущества лингвальных брекетов incognito?
Лингвальные брекеты incognito имеют ряд преимуществ, таких как невидимость благодаря расположению с внутренней стороны зубов, комфорт в ношении благодаря индивидуальной подгонке под каждого пациента, а также эффективность в коррекции прикуса.
Каковы основные недостатки лингвальных брекетов incognito?
Среди основных недостатков лингвальных брекетов incognito можно выделить более высокую стоимость по сравнению с обычными брекетами, а также возможные ощущения дискомфорта в первое время ношения из-за контакта с языком.
Полезные советы
РЕКОМЕНДАЦИЯ №1
Перед тем как принять решение о покупке лингвальных брекетов incognito, обязательно проконсультируйтесь с ортодонтом. Он поможет определить, подходят ли они именно вам, и даст рекомендации по уходу за ними.
РЕКОМЕНДАЦИЯ №2
Исследуйте отзывы пользователей, которые уже использовали лингвальные брекеты incognito. Это поможет вам понять их преимущества и недостатки, а также подготовиться к возможным сложностям в процессе ношения.






