В последнее время в стоматологии набирает популярность установка зубных штифтов. Технология в большинстве случаев помогает сохранить зуб. При удалении зубного нерва врач в обязательном порядке проводит очищение каналов. После депульпирования стоматолог устанавливает зубной штифт. Что это такое, какие виды выделяют, показания к установке, а также плюсы и минусы процедуры.
Что такое штифт
Специализированная конструкция, устанавливаемая во внутренней полости корня зуба после депульпирования — зубной штифт. Имеет форму стержня с резьбой. Конструкция применяется в качестве опоры, которая дополнительно поддерживает как съемные, так и несъемные зубные протезы. Этот метод способствует сохранению непосредственно корня. В этом случае первоначальная структура челюсти не претерпевает изменений. Именно это обстоятельство и привлекает большинство пациентов. Даже «мертвый» зуб при установке штифта прослужит дольше.
После проведенного лечения на штифтованный зуб необходимо установить коронку (мостовидный протез). Не каждому пациенту показано использование штифта.
Плюсы штифтов
- Штифт можно установить на любой зуб.
- В основе штифтов лежат гипоаллергенные вещества, поэтому не происходит отторжение.
- Быстрая установка.
- Жевательная нагрузка распределяется равномерно, давление при еде не разрушает коронку.
- Материалы не поддаются коррозии.
- Зубной ряд выглядит органично и эстетично.
Условия применения
- Стенка корня должна быть толщиной более 2 мм.
- Глубина распломбировки должна составлять более 2/3 длины канала.
- Наличие условий для полноценного и качественного обтурирования канала.
- Возможность придать каналу цилиндрическую или коническую форму.
Зубной штифт — это своеобразный вид арматуры в стоматологии, позволяющий не только укреплять зуб, но и восстанавливать его форму после проведенных врачом манипуляций.
Когда используют зубные штифты
В стоматологии выделяют 5 основных направлений применения штифтов:
- Наращивание на штифт коронковой части зуба. Наиболее распространенный подход.
- Протезирование специализированными конструкциями. Применяется при отсутствии возможности прикрепления протеза к рядом стоящим зубам.
- Армирование зуба после депульпирования с применением штифтовой вкладки.
- При лечении пародонтальных болезней с использованием комбинированного приспособления, предназначенного для шинирования.
- При операционном вмешательстве, направленном на реимплантацию зубов пациента, при котором специализированные конструкции успешно применяются.
Большинство случаев применения штифтов относятся к наращиванию коронковой части зуба.
Разновидности штифтов
Все опорные устройства можно разделить на две группы:
- Металлические.
- Неметаллические.
При изготовлении металлических штифтов используются сложные сплавы титана, латуни, палладия, добавляются золотые примеси. В неметаллических конструкциях применяются стекловолоконные, углепластиковые, керамические материалы. Обе группы имеют как плюсы, так и минусы.
Основные виды зубных штифтов:
- Анкерные зубные штифты. Исходя из способа фиксации выделяют активные и пассивные. Активные конструкции внедряют непосредственно в корень зуба. Такая технология чревата определенными осложнениями для пациента. Пассивные штифты применяют после удаления зубного нерва. Установка данной конструкции достаточно проста.
- Стекловолоконные штифты. Состоят из современного материала, у которого много плюсов. К преимуществам стекловолоконных изделий можно отнести гипоаллергенность, эластичность, быстрота в использовании (стоматолог оперативно устанавливает конструкции уже на первом визите пациента). При перелечивании зубного канала есть возможность оперативно удалить изделие.
- Углеродоволокнистые штифтовые конструкции. За счет схожего состава с естественным дентиновым слоем обладает повышенной прочностью.
- Парапульпарные зубные штифты. Конструкции наделены основой, состоящей из металла, на которую крепится полимерное покрытие.
- Культевая вкладка. Данная технология используется при существенном разрушении коронки. Штифтовое изделие — своеобразный микропротез. Для каждого пациента специализированная конструкция изготавливается индивидуально. Для этого врач берет слепки зуба у стоматологического больного.
Стекловолоконные штифты
Стоит отметить, что самыми популярными в стоматологической практике являются штифты, изготовленные из стекловолоконных материалов. Основной плюс стекловолоконного опорного устройства — прочность установки. Гибкий материал позволяет изделию при высокой нагрузке изгибаться, подстраиваясь под нужную форму. Когда давление ослабевает, конструкция возвращается с исходное положение без дополнительных усилий со стороны человека.
Стекловолоконные опорные штифты натуральны по своему составу. Материал, из которого изготовлен штифт, биологически совместим с твердыми тканями канала зуба и полости рта. Изделия состоят из гипоаллергенных веществ, они не токсичны. Даже спустя несколько лет они не утрачивают свою прочность и надежно удерживают форму зуба.
Многие пациенты большое значение придают цвету коронок. При выборе стекловолоконных штифтов естественный цвет материала сочетается с цветом зубной эмали. При реконструкции коронок конструкция не будет заметна. Иногда при насаживании штифта коронки просвечивают. Если пациенту установлено металлическое опорное устройство, то штифованный зуб выделяется среди всего ряда своим темным цветом. Это не только сразу бросается в глаза, портит впечатление, но и нарушает эстетику улыбки. Особенно часто стекловолоконные конструкции устанавливают на передние зубы, ведь цвет у них молочно-белый.
В состав штифтовых изделий входят разные материалы. Врач для каждого пациента индивидуально выбирает технологию. Важно оценить достоинства и недостатки каждого метода, обратить внимание на противопоказания.
Установка штифта
Если зуб подвергся разрушению, пациенту не следует медлить с установкой штифтов. В разрушенный канал будут попадать остатки пищи, болезнетворные бактерии. Застрявшая еда вызывает дискомфорт, возможен риск развития воспалительных процессов. В стоматологической практике зафиксированы случаи деформации зубного ряда, которая оказала негативное влияние на эстетическую составляющую. Пациенты со стоматологическими проблемами не только стесняются улыбаться, но и теряют уверенность в себе.
Зубы в ротовой полости образуют плотный ряд. Если у человека присутствуют разрушения каналов, со временем близко расположенные друг к другу зубы начинают шататься, сдвигаться. Их цель — минимизировать просвет. У человека данные движения в ротовой полости вызывают болезненные ощущения. Дефекты зубного ряда становятся более заметными. Если больной продолжительное время не обращается за помощью к стоматологу, то впоследствии лечить разрушенные зубы и восстанавливать ряд ему будет крайне сложно.
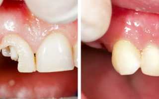
Процедура установки специализированной конструкции зависит непосредственно от материала изделия, а также от разновидности штифта.
Этапы установки
- Осмотр ротовой полости пациента врачом-стоматологом. Оценка возможности применения штифтовых конструкций при лечении. При необходимости врач может направить пациента на КТ или порекомендовать больному сделать рентгенограмму.
- Канал зуба (если в нем ранее была установлена пломба) должен быть распломбирован. При проведении депульпирования стоматолог удаляет зубной нерв.
- Штифтовая конструкция устанавливается в канал зуба. При применении изделий, относящихся к стекловолоконным или углеродоволокнистым, излишки приспособления удаляются методом среза.
- Стоматолог, используя композитные вещества, фиксирует штифт в канале.
- Врач восстанавливает коронковую часть зуба. Обычно эта процедура происходит во время повторного визита пациента к стоматологу, так как композитный состав в канале зуба должен полностью затвердеть.
За зубом, на который был установлен штифт, важно тщательно следить, отмечая все неприятные ощущения. Анализ последствий, болевых симптомов поможет вовремя принять меры при наступлении осложнений.
Пациенту следует помнить, что появление болевых ощущений после процедуры депульпирования — распространенное явление. Это нормальная реакция организма на удаление зубного нерва. Поводов для паники в этом случае нет. Однако если болевые ощущения долгое время не проходят, пациенту необходимо проконсультироваться с врачом.
Преимущества и показания
Основной плюс процедуры заключается в том, что штифтванный зуб не выделяется на фоне остальных, смотрится органично. Верно подобранная конструкция не нарушает эстетику, сохраняя красоту улыбки.
Преимущества:
- Возвращаются жевательные способности.
- Восстанавливает разрушенную коронку.
- Повышает самооценку пациента, у которого были комплексы относительно эстетической части.
При решении вопроса о возможности установки конструкции врач оценивает несколько параметров. Основные показания, при которых использование штифта разрешено:
- Коронковая часть зуба разрушена более чем на 50%.
- Полное разрушение коронковой части зуба при сохранении его корня.
- Создание своеобразной культи в целях последующего протезирования зуба.
Недостатки и противопоказания
К минусам данного метода можно отнести:
- При отсутствии необходимого опыта стоматолог может допустить ошибку, которая может повлечь за собой негативные последствия. У пациента могут развиться осложнения.
- Существует риск развития аллергической реакции.
- У зуба, у которого удален нерв, срок службы ограничен. Даже при установке специализированной конструкции.
Противопоказания:
- Малая толщина стенки корня зуба.
- Значительные разрушения каналов.
- Невозможность проникнуть в канал зуба. Причины: возрастные изменения, искривление канала, застревание стоматологических инструментов.
- Воспалительные процессы в каналах. Некоторые заболевания, поражающие корень зуба.
Окончательное решение о возможности установки специализированной конструкции принимает врач. Стоматолог на первичном приеме оценит риски и сообщит пациенту о вариантах лечения зуба.
Возможные осложнения
После установки штифтов пациент может столкнуться со следующими осложнениями:
- Ощущение дискомфорта, зубная боль. Если симптомы не проходят, а только усиливаются, необходимо обратиться к врачу. В первые несколько дней болевые ощущения — норма.
- Перелом корня зуба. Крайне редкое осложнение. Возможно при установке активных анкерных конструкций.
- Скол пломбировочного материала. Возникает после реставрации во время жевания.
Одним из тревожных сигналов является изменение цвета или формы стенки зуба. Пациент в этом случае при первой возможности должен посетить врача.
Удаление штифта из зуба
Иногда возникают ситуации, когда пациенту требуется удалить опорное устройство. Это нелегкая задача для стоматолога. Важно не только безболезненно извлечь конструкцию, но и сохранить зуб для последующего протезирования или внедрения импланта. Замена опорного изделия занимает много времени. Опытный врач-стоматолог проводит процедуру в несколько этапов:
- Удаление коронок, распломбирование каналов, снятие специализированных конструкций и вкладок.
- Разрушение композиционного вещества, удерживающего опорное изделие.
- Удаление штифта из корня зуба.
Стоматологу важно понимать, из какого материала изготовлено штифтовое устройство, ведь от этого зависит выбор технологии изъятия конструкции. Врач в работе применяет различные вспомогательные инструменты: осветительные приборы, ультразвуковой наконечник, увеличительные приспособления. Если стоматолог не проведет полную диагностику, пациент может столкнуться со многими осложнениями, которые могут привести к потере зуба.
Показания к удалению штифтов:
- Предыдущая установка проведена с нарушением.
- Воспалительные процессы, затронувшие корень зуба, развитие сопутствующих заболеваний.
- Подготовка к внедрению импланта.
- Извлечение старой пломбы.
Чем зуб расположен глубже, тем сложнее стоматологу его лечить. Повторное протезирование будет проблематично, так как стенки зуба слишком хрупкие и могут не выдержать очередного вмешательства.
К числу осложнений удаления штифтовых конструкций относятся:
- Разлом устройства. Часть изделия застревает в корневом канале. Значительное повреждение штифта.
- Перфорация корневого канала.
- Образование трещин в тканях. Возможный перелом корня.
Уход за штифованным зубом
После процедуры пациенту рекомендовано тщательно следить за состоянием полости рта. На протяжении недели пациенту показано есть исключительно пюрированные мягкие блюда. После еды десну и каналы зуба следует очищать от остатков еды при помощи зубной нити. Эта гигиеническая процедура снизит риск возникновения воспалительных процессов.
Врачи-стоматологи советуют распределять нагрузку на зубной ряд равномерно. Пациенту стоит воздержаться от открывания крышек бутылок штифованным зубом, разгрызать скорлупу орехов.
Используемые источники:
- Справочник по стоматологии / Под ред. А. И. Рыбакова.— М., 1993.
- Сейфоллахи М. Подготовка боковых зубов под цельнокерамические вкладки // Новини стоматології : статья. — 2008.
- Вкладки в стоматологии статья на Википедии
Частые вопросы
Какие преимущества предоставляют зубные штифты в стоматологии?
Зубные штифты позволяют восстановить структуру зуба после удаления большой части коронки, обеспечивая надежное крепление пломбы или коронки.
Какие типы зубных штифтов существуют и в каких случаях их применяют?
Существуют стекловолоконные, металлические и комбинированные зубные штифты. Они применяются в зависимости от состояния зуба и необходимости восстановления его коронки.
Полезные советы
СОВЕТ №1
Перед использованием зубного штифта необходимо тщательно оценить состояние зуба и корневого канала с помощью рентгеновских снимков и клинического осмотра.
СОВЕТ №2
Выбор типа и размера зубного штифта должен быть основан на индивидуальных особенностях зуба, уровне остаточной ткани и функциональной нагрузке.
СОВЕТ №3
При использовании зубных штифтов важно соблюдать правильную технику установки, чтобы избежать повреждения зубной ткани и обеспечить надежное крепление.






